新生命研发美容制剂,在医学美容等方面拥有巨大潜力
更新日期:2018-10-15 11:17  爱心老师  点击:

医学美容如今已成为一种时尚潮流,填充玻尿酸或自体脂肪以及肉毒素麻痹肌肉神经等美容手段受到了爱美人士的青睐,其中皮下填充生物相容性材料的方法因操作性和安全性高,相比之下更具优势。但现阶段皮下填充的生物材料不能很好的形成血管,容易出现钙化现象,如何破解“美中不足”的困局,已成为医学美容亟待解决的问题。

新生命研发美容制剂,在医学美容等方面拥有巨大潜力

 

近日,四川新生命干细胞科技股份有限公司研发团队又出新成果,他们制备了一种含有干细胞、祖细胞和细胞外基质的美容制剂,有效解决了移植材料不能血管化的问题。目前这一新成果已提交专利申请,并获得国家知识产权局受理。

新生命研发美容制剂,在医学美容等方面拥有巨大潜力

 

 

在组织工程研究中,将复合有干细胞的材料植入体内,可以帮助组织修复。根据这一原理,在皮下移植复合有干细胞的填充材料也可以解决移植材料不能血管化的问题。

哪些干细胞适合成为填充材料呢?脂肪干细胞和内皮祖细胞很快进入了研发团队的视野。

脂肪干细胞(Adipose derived Stem Cells, ADSCs)是来源于脂肪组织的干细胞,它具有自我更新、多向分化的能力,在再生医学领域已经被广泛认可。但若单独移植脂肪干细胞到皮下,其分化成血管的能力很弱。

内皮祖细胞(Endothelial Progenitor Cells, EPCs)是血管内皮细胞的前体,不仅存在于胚胎发育阶段参与血管新生,也存在于脐带血、骨髓、外周血等组织中,它在生理和病理条件下能够修复损伤的血管,在维持血管内皮细胞代谢平衡和血管结构的完整性上发挥重要作用。可是单独移植内皮祖细胞到皮下,其自发形成的血管组织结构脆弱,管腔较细,血管化程度不高,同样不能满足要求。

如果将两种细胞联合起来变成组合物,是否能够扬长避短,既能发挥它们的优势又能克服其缺点呢?研发团队将筛选获得的脂肪干细胞与内皮祖细胞按一定比例混合后,以细胞外基质组分做支架材料移植到裸鼠皮下进行实验。

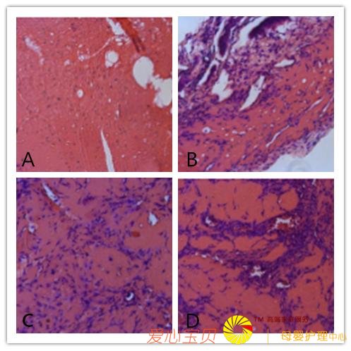
实验分为四个组,裸鼠的左侧统一为材料对照组,裸鼠右侧分别为 hEPCs(内皮祖细胞)+材料组、hADSCs(脂肪干细胞)+材料组、hEPCs+hADSCs+材料组,注射 7天后取包埋材料观察并切片做 H&E 染色。

 

新生命研发美容制剂,在医学美容等方面拥有巨大潜力

 

 

图1A 材料对照组、B hEPCs+材料组、C hADSCs+材料组、D hEPCs+hADSCs+材料组直观观察结果

实验结果显示(见图1),A 材料对照组出现钙化现象,B hEPCs+材料组同样出现钙化现象;C hADSCs+材料组未出现明显钙化;D hEPCs+hADSCs+材料组未出现钙化,且长出了红色的血管。

新生命研发美容制剂,在医学美容等方面拥有巨大潜力

图2 200×视野下的切片结果

切片结果也显示(见图2),A 材料对照组只能观察到少量炎性细胞浸润;B hADSCs+材料组,可以观察到脂肪干细胞在材料中存活;C hEPCs+材料组,可以观察到形成毛细血管管腔结构;D hEPCs+hADSCs+材料组,观察到非常明显的管腔结构,且管腔中可以观察到红细胞的存在,说明已经存在血流,血供已经恢复。

对切片中每个视野中血管管腔数统计发现, hEPCs+hADSCs+材料组的血管管腔数目显著高于其它组别,表明组合物具有较强的帮助移植物实现血管化的能力。

新生命研发美容制剂,在医学美容等方面拥有巨大潜力

 

关于这种美容制剂的应用前景,研发团队表示,该美容制剂可以很好的血管化,恢复移植材料的血供,支持其长期存活,在再生医学、损伤修复、医学美容等方面拥有巨大的应用潜力。

新生命研发美容制剂,在医学美容等方面拥有巨大潜力

 

干细胞时代,牙仙的新礼物:乳牙干细胞

新技术已申请专利 可获得组织修复能力强的脂肪干细胞

2018年上半年质检情况通报 干细胞储存状态良好

文 | 新生命干细胞

图 | 网络

美发 http://www.5cocoi.com
家政服务公司 http://www.aixinbaomu.com